Acute dacryoadenitis is defined as the rapid onset of discomfort and swelling of the lacrimal gland, classically giving rise to an S-shaped ptosis [1]. Dacryoadenitis is the most common cause of a painful mass in the lacrimal gland in young adults with the most common aetiology being a viral infection. The disease usually responds well to a course of systemic steroids [2]. This report describes an unusual case of COVID-19 causing orbital inflammation in a male patient with left unilateral dacryoadenitis and flu-like symptoms.
Case report
A 53-year-old patient presented to their GP with left worsening periorbital swelling associated with pain on ocular movement, accompanied by fever and upper respiratory tract infection symptoms that lasted a few days. He was started on flucloxacillin and referred to the eye casualty clinic.
His symptoms continued worsening in the following two days with development of diplopia in all positions of gaze with minimal improvement from the oral antibiotic treatment. On examination, there was mild periorbital swelling around the left eye. Examination of the optic nerve function was normal with normal pupillary reaction, no relative afferent pupillary defect and normal colour vision on Ishihara plate testing. However, it was noted that there was a restriction in ocular movement particularly in lateral and superior gaze of the left eye associated with diplopia. There was also mild proptosis noted with a 2mm difference on exophthalmometry.

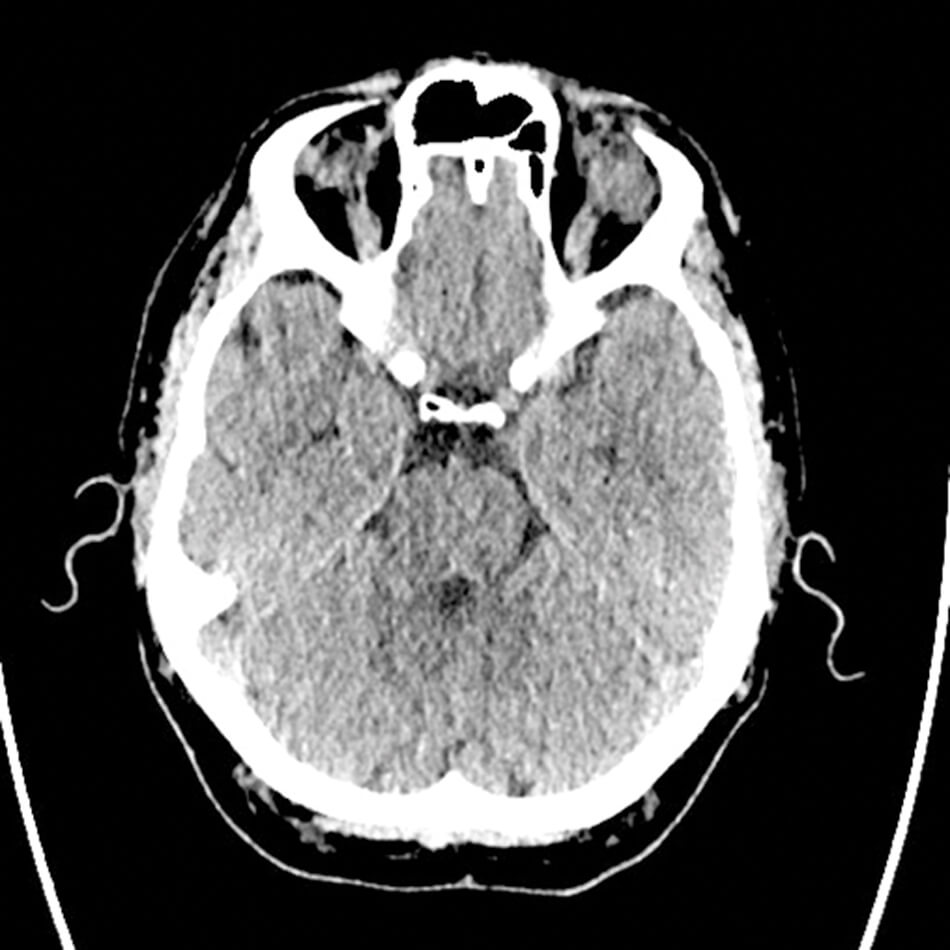
Figure 1: CT scan of head.

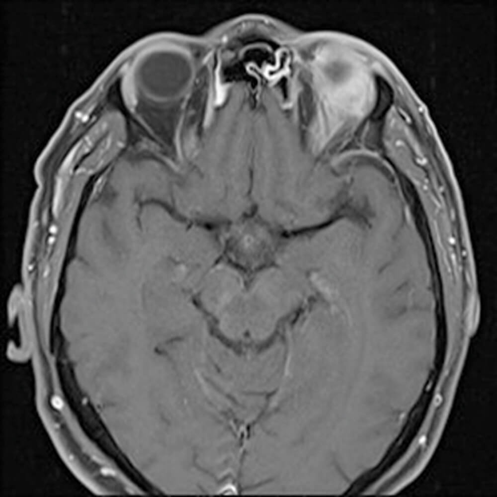
Figure 2: MRI scan of head.
The patient was initially diagnosed with orbital cellulitis and was admitted for intravenous antibiotics. Laboratory testing showed markedly elevated C-reactive protein (94mg/L) with normal renal and liver function tests, white cell and platelets counts, and a normal bone profile. Serum angiotensin converting enzyme (ACE) was within the normal range excluding sarcoidosis.
A CT head was requested which showed an 18mm contrast enhancing lesion superior and lateral to the left eye globe. This seemed to involve the superior and lateral rectus muscles along with mass effect over the left globe and possible orbital inflammation.
This was then followed up with an MRI which demonstrated a soft tissue mass in the left superolateral orbit extending around the superior rectus complex and the left lateral rectus that was exerting mass effect over the left eye globe.
The patient was tested for COVID-19 during the admission process and was found to be positive on viral PCR testing. Clinical findings and orbital imaging suggested an inflammatory lacrimal gland-related pathology and the patient was treated for presumed viral dacryoadenitis secondary to COVID-19 infection. They were started on a course of pulsed intravenous methylprednisolone followed by a tapering dose of oral steroids.
There was a rapid improvement of symptoms during the treatment course and the patient was discharged a few days later. He was reviewed in clinic a week after discharge with complete resolution of his signs and symptoms.
Comment
There have been a handful of cases that have been published in the literature describing potential dacryoadenitis in patients who have had COVID-19 infections. A case report published by Diaz, et al. demonstrated a similar case in a patient who developed eyelid swelling and ocular motility restrictions - this was confirmed to have lacrimal gland enlargement on imaging after coming into close contact with a COVID-19 positive patient a few weeks prior [3]. However, PCR testing of the patient during the acute presentation was negative for SARS-CoV-2. A similar case report by Dermarkarian, et al. demonstrated recurrent dacryoadenitis in a six-month-old patient who was positive for COVID-19 on PCR testing [4].
In summary, COVID-19 may cause orbital disease, possibly due to immune response or infection. Ocular symptoms, such as dry eyes, have been observed, and there is evidence of dacryoadenitis and lacrimal gland infiltration in some cases.
References
1. Salmon J, Kanski J. Kanski’s Clinical Ophthalmology Ninth Edition. Edinburgh, UK; Elsevier; 2020.
2. Honavar S, Sen M, Sharma N, Sachdev M. COVID-19 and Eye: A Review of Ophthalmic Manifestations of COVID-19. Indian J Ophthalmol 2021;69(3):488.
3. Díaz MM, Piqueras SC, Marchite CB, Vahdani K. Acute dacryoadenitis in a patient with SARS-CoV-2 infection. Orbit 2021;41(3):374-7.
4. Dermarkarian C, Chilakapati M, Hussein M, et al. Bilateral orbital inflammation in a 6-month old with SARS-CoV-2 infection. Orbit 2022;41(5):633‑6.
Declaration of competing interests: None declared.
COMMENTS ARE WELCOME

