IIH is a medical condition where the intracranial pressure (ICP) is raised without an obvious cause. The cerebrospinal fluid (CSF) is produced in by the choroid plexus in the lateral ventricles and the roof of the third and fourth ventricles, it then circulates around the brain, spinal cord and optic nerves sheaths then gets absorbed by the arachnoid villi into the cerebral sinus veins system. The CSF is produced at a rate of 500ml daily and the normal intracranial pressure is up to 20cm of water.
Mechanism, signs and symptoms
The mechanism of IIH is still unknown but thought to be related to reduced drainage through the venous system. In fact, many patients with IIH have transverse sinus stenosis, although there still debate on whether this is the cause of IIH or a result from the raised intracranial pressure. There is a very strong link between IIH and weight; in fact, most patients are young women with increased BMI (typical IIH). IIH usually presents with headaches, pulse synchronised tinnitus and visual symptoms.
The headaches are usually more intense in the morning or following any activity that raises the intracranial pressure such as bending down, coughing or sneezing. They are usually generalised but throbbing in nature.
Ophthalmologically, IIH can cause optic nerve swelling (papilloedema = swollen optic nerve due to raised intracranial pressure) which is usually bilateral but could be very asymmetric or even unilateral in rare cases. It can also cause ocular motility abnormalities, most commonly VI cranial nerve palsy.

Papilloedema can be classified on Frisen grading system from grade 0 (no swelling) to grade 5 (Table 1). Patients should be assessed by examining their visual functions (visual acuity, colour vision, peripheral vision and pupil reactions). The central visual acuity tends to be preserved unless the swelling is severe and hyperacute (fulminant IIH) while visual field defects are more common and can happen earlier (enlarged blind spot and inferior nasal defect).

Differential diagnosis
It is important to rule out other causes of raised intracranial pressure such as brain tumours, medical conditions or medications that raise intracranial pressure (Table 2). It is also important to assess optic nerves and confirm the optic nerve swelling (rather than pseudo swelling such as optic disc drusen, peripapillary hyperreflective ovoid mass-like objects - phoms, crowded or tilted discs) and rule out other causes of optic nerve swelling such as vascular or inflammatory optic neuropathies.

Diagnosis and investigations
Modified Dandy criteria (1985, 2001) suggest a set of criteria to diagnose IIH and eliminating other causes of raised intracranial pressure (Table 3).
Investigations for IIH include optic nerve ultrasound to assess the optic nerve sheath width, which helps rule out pseudo swelling. Optical coherence tomography (OCT) scan, especially enhanced depth imaging (EDI) helps in the assessment of optic nerve swelling and picking up disc drusen and phoms. Neuro-imaging (CT or MRI scans) and venogram (CTv or MRv) are necessary to rule out any space occupying lesion and cerebral venous sinus thrombosis (CVST). The MRI scan in IIH should be normal, but there are several non-specific findings that fit with the possibility of raised intracranial pressure. These include: flattening of the posterior sclera, empty sella, extended optic nerve sheaths, vertical tortuosity of the optic nerves, slit ventricles and narrowing of the transvers sinuses.
Once neuro-imaging has been done patients undergo a lumbar puncture (LP) to assess CSF constituents (should be normal in IIH) and check the opening pressure in the left lateral recumbent position (normal is up to 20cm of water, up to 25cm is borderline and >25cm is raised, compatible with IIH).
Classification
IIH can be classified into typical IIH which affects the typical phenotype of young overweight women, atypical which can affect other phenotypes (men or children or women who are not overweight) and fulminant IIH which has a very severe and aggressive clinical pathway.
It is important in atypical cases to investigate all other possible causes of raised intracranial pressure and to take swift action in fulminant cases.
Treatment
Treatment options depend on the severity of the symptoms (headaches or visual symptoms) as well as the severity of optic nerve swelling.
In cases with very mild optic nerve swelling (grade 1) and minimal general symptoms, observation might be a good option.
Medical treatment is usually the first line of treatment for the majority of patients. This includes acetazolamide where doses can go up to 2000mg daily if patients tolerate, especially when there is significant optic nerve swelling. Later in the course of the disease when headaches persist, in the absence of significant swelling, topiramate could be used as it has effects against the raised intracranial pressure as well as effects against chronic migraines. It is also important to discuss and encourage weight loss in patients as there is a very strong body of evidence to support that as a long-term treatment option that modifies the course of the disease.
In cases of IIH refractory to treatment or fulminant IIH where there is imminent risk to vision, surgical intervention might be warranted. Surgical options include optic nerve fenestration, transverse sinus stenting and ventriculoperitoneal (VP) shunting. The choice depends largely on local expertise and availability. Repetitive LPs don’t usually work as a treatment option as the CSF gets replaced within 24 hours but can be used as a temporary measure while awaiting surgical intervention or in special cases such as pregnancy.

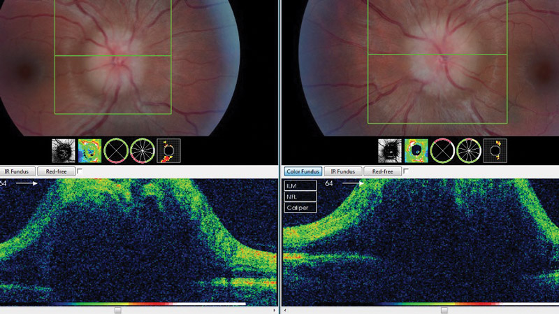
Figure 1: OCT scan of papilloedema patient with bilateral optic nerve swelling grade 3.
Case study 1:
A 22-year-old female saw her local optician complaining of mild blurring of vision and generalised headaches. On assessment her visual acuity was slightly reduced at 6/7.5 in both eyes (0.1 on logMAR). Colour vision was full and visual fields testing showed enlarged blind spots. An OCT scan of her optic nerve showed bilateral optic nerve swelling (Figure 1). She was referred to the eye emergency clinic where her optic nerve swelling was confirmed. She was referred to the medical team where she had CT/CTv followed by an LP which showed raised opening pressure of 35cm of water (raised intracranial pressure). As there were no other causes, she was diagnosed with IIH. She was put on acetazolamide (250mg QDS) and followed up in the neuro-ophthalmology clinic until her papilloedema resolved. Weight loss advice was given and side- effects of treatment were explained and her acetazolamide was reduced gradually and she continues to be on regular follow-up until full remission.

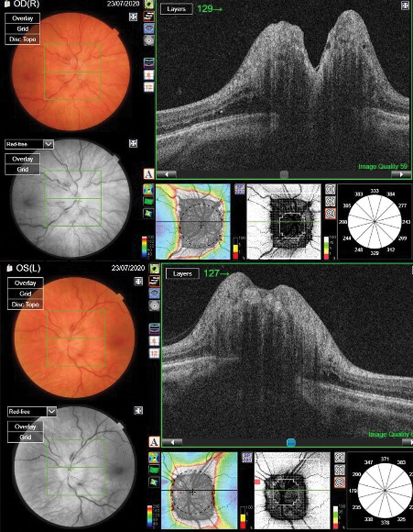
Figure 2: OCT scan of patient with fulminant IIH and bilateral grade 5 optic nerve swelling.
Case study 2:
A 35-year-old female presented to the eye emergency clinic with severe headaches, tinnitus and bilateral reduction of vision. Her visual acuity was 6/24 in her right eye and 6/18 in the left. Fundus examination showed severe bilateral optic nerve swelling (Figure 2). She was referred urgently for neuro-imaging (CT / CTv), both were normal, then had an LP which showed opening pressure of more than 40cm of water. She was put on high dose of acetazolamide (500mg TDS), but on follow-up in the neuro-ophthalmology clinic a few days later there was no significant response and her visual functions remained compromised so she was referred for urgent surgical intervention and she had a VP shunt inserted. On follow-up a few weeks later her optic nerve swelling started to reduce (Figure 3) with improvement of her visual acuity, although she developed a nasal field defect in her right eye.

Figure 3: OCT scan of the same patient following VP shunt insertion.
Conclusions
IIH is a relatively common condition with increasing prevalence in young overweight women. It is important to recognise features of optic nerve swelling and differentiate pseudo swelling from true optic nerve swelling. It is also important to differentiate IIH from other causes of optic nerve swelling such as inflammatory vascular causes, as well as other causes of raised intracranial pressure such as brain tumours or medication related. Early intervention is very important in fulminant IIH, while it is important to fully investigate all atypical cases. In typical IIH, monitoring or medical treatment is usually the first line of treatment but weight loss advice is always important and encouraged.
References
1. Mollan SP, Davies B, Silver NC, et al. Idiopathic intracranial hypertension: consensus guidelines on management. J Neurol Neurosurg Psychiatry 2018;89:1088-100.
2. Mollan SP, Hornby S, Mitchell J, Sinclair AJ. Evaluation and management of adult idiopathic intracranial hypertension. Pract Neurol 2018;18:485-8.
3. Idiopathic intracranial hypertension UK: www.iih.org.uk Last accessed April 2021.
4. Mollan SP, Markey KA, Benzimra JD, et al. A practical approach to, diagnosis, assessment and management of idiopathic intracranial hypertension. Pract Neurol 2014;14:380-90.
5. Thurtell MJ, Wall M. Idiopathic Intracranial Hypertension (Pseudotumor Cerebri): Recognition, Treatment, and Ongoing Management. Curr Treat Options Neurol 2013;15(1):1-12.
6. Wall M. Idiopathic intracranial hypertension. Neurol Clin 2010;28(3):593-617.
7. Lee AG, Brazis PW: Clinical Pathways in Neuro Ophthalmology. An Evidence Based Approach (2nd Edition). Thieme; 2003:129-65.
COMMENTS ARE WELCOME
