The Retinoblastoma Network (Rb-NET) Multidisciplinary Team (MDT) platform, developed by the London School of Hygiene & Tropical Medicine (LSHTM) and Professor Ido Didi Fabian, is a web-based telemedicine initiative that regularly hosts virtual MDT meetings focused on the evaluation and management of children with Rb [1].
Retinoblastoma is the most common childhood eye cancer, with an estimated annual incidence of 8000 cases [2]. When detected early, the disease is highly curable, with survival rates nearing 100% in high-income countries (HICs). However, around 80% of cases occur in low- and middle-income countries (LMICs), where children are 17 times more likely to die, with survival rates as low as 57% for low-income countries (LICs) [3]. This stark disparity in outcomes is attributed to various factors, including delayed presentation to treatment centres, inadequate healthcare infrastructure, financial barriers, and cultural constraints. Additional obstacles include poor referral systems, limited access to advanced therapies, low public and provider awareness, geographic challenges, and insufficient follow-up care. These issues underscore the urgent need for targeted strategies to improve survival rates in LMICs.
In response to these challenges, the Rb-NET MDT was designed to unite specialists globally, improve access to expert care, enhance the quality of Rb management, and serve as an educational platform for healthcare providers. As of today, the platform has around 700 members from over 50 countries. The Rb-NET MDT project has grown significantly over the years, with regular country MDT meetings held at which challenging cases are discussed to support and advise local Rb teams on how to manage their patients and families. More recently, ‘specialised’ MDT sessions have been held, bringing together all specialists involved in Rb care, creating a holistic platform for collaborative decision-making and knowledge sharing.
In November 2024, the Rb-NET MDT hosted its third annual ‘Rb-NET Challenges’ session, at which clinicians from various countries presented complex ‘rapid-fire’ Rb cases. Participants were polled to answer ‘What would you do next?’ options before the responses were analysed and in-depth discussions followed.
Here, we will summarise some of the presentations from the webinar and the main discussion points, and highlight lessons learned.

Figure 1: Large mass in the superior-temporal quadrant of the left eye,
accompanied by retinal detachment and feeder vessels.
1. Rb in a mother with a family history of Rb
Presenting team: Bangkok, Thailand
A 29-year-old woman with a family history of Rb presented with floaters in her left eye. Her son had previously been diagnosed with bilateral Rb but passed away due to metastatic disease at a young age. On examination, a large mass was observed in the superior-temporal quadrant of the left eye (Figure 1), accompanied by retinal detachment and feeder vessels - classic signs of Rb. Participants were asked how they would manage this case. The options and results were:
- Watching and waiting (14%)
- Fine needle aspiration (17%)
- Chemotherapy (49%)
- Primary enucleation (20%)
Consensus: The expert panel agreed that a biopsy carried the risk of spreading tumour cells and was unnecessary because of strong clinical evidence of Rb and a positive family history. The group recommended a ‘globe-salvage’ approach with intra-arterial (IAC) as well as intravitreal chemotherapy (IVC).
After four cycles of IAC and seven cycles of IVC, the mass significantly reduced in size, and the patient’s vision improved over the course of 12 months. The mother’s blood tests revealed a germline RB1 mutation, confirming her inherited predisposition to Rb. ‘Retinoma’ was published first by Gallie, et al. and includes a definitive genome characterisation [4,5]. The expert panel agreed that it was likely that a retinocytoma had transformed into malignant Rb, a rare occurrence. The importance was emphasised of lifelong eye check-ups for anyone treated for Rb, as retinocytomas occur in 1-4% of cases, though progression to active cancer is very uncommon.
This case reveals the unique challenges encountered by adult survivors and those with a family history of Rb, who remain at risk of late-onset disease. It also underscored the importance of genetic testing in guiding both management and family planning decisions. Overall, the successful outcome showcased the value of early detection and the effectiveness of intra-arterial and intravitreal chemotherapy.
2. Bilateral Rb in a young infant
Presenting Team: Buenos Aires, Argentina
A 14-month-old girl was referred with poor eye contact. There was no family history of Rb. On examination, she was diagnosed with bilateral Rb, Group D in the right eye and Group E in the left eye - both advanced presentations; enucleation of the left eye had already been performed before the referral.
The main concern was managing the right eye, which showed diffuse vitreous and subretinal seeding, an exophytic tumour and retinal detachment affecting more than one quadrant. An MRI confirmed no central nervous system (CNS) involvement and no optic nerve invasion. Participants were asked, “What would you do next?” The options and results were:
- Systemic chemotherapy: (41.8%)
- Intra-arterial chemotherapy: (47.5%)
- Primary enucleation: (7.4%)
- External beam radiotherapy: (3.3%)
Consensus: The expert panel ultimately agreed to recommend proceeding with IAC due to its targeted approach and reduced systemic side-effects. Initially the treatment resulted in improvement, but subretinal fluid affecting the macula persisted, and vitreous seeds remained present after the fifth cycle.
The subsequent treatment options were conservative management or intravitreal chemotherapy with either melphalan, topotecan or carboplatin. It was decided to go ahead with intravitreal topotecan, known for its high efficacy in treating persistent vitreous seeds. Following this recommendation, the team administered a high dose of topotecan directly into the vitreous cavity of the eye.
Following this, the patient showed significant improvement: the subretinal fluid disappeared, the retinal detachment resolved, and both subretinal and vitreous seeds disappeared. The treatment was considered successful, with the eye salvaged and vision preserved.
The panel emphasised how treatment options for Rb vary widely depending on local resources and expertise. In many LMICs systemic chemotherapy remains the primary treatment option due to limited access to specialised equipment and expertise for IAC.
The experts also stressed the unique properties of topotecan chemotherapy, noting its extended persistence in the eye, which likely contributes to its high efficacy in eliminating vitreous seeds. While carboplatin can also be effective, it carries a higher risk of toxicity to surrounding tissues, making topotecan the preferred choice in this case.
3. Advanced Rb with CNS involvement
Presenting Team: Paris, France
A two-year-old boy presented with leukocoria in the left eye. Examination under anaesthesia revealed retinal detachment and subretinal seeding, with MRI confirming extensive retinal infiltration but no optic nerve invasion or pineal tumour. Participants were asked what they would do next. The options and results were:
- Neoadjuvant chemotherapy followed by enucleation (26%)
- Primary enucleation (36%)
- Intra-arterial chemotherapy (35%)
- External beam radiotherapy (3%)
The presenting team decided to proceed with primary enucleation given the significant tumour burden, extensive retinal involvement and poor visual prognosis.

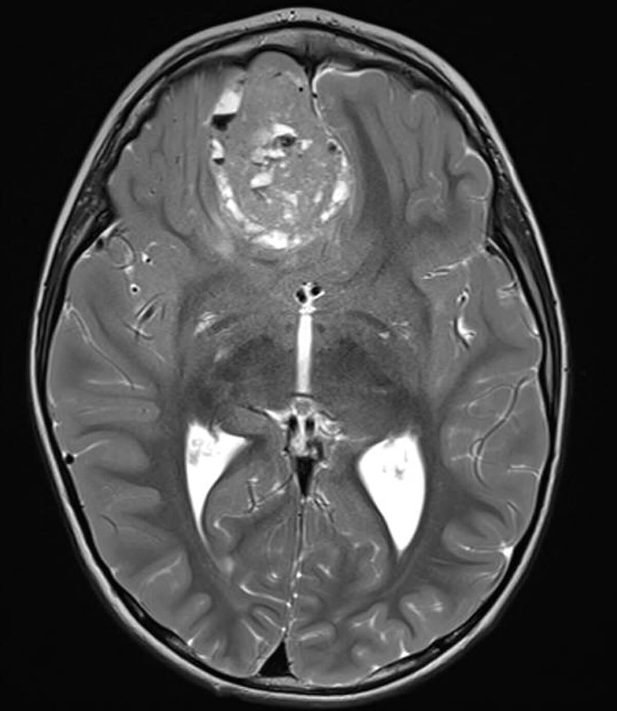
Figure 2: MRI showing large intracerebral mass.
Biopsy confirmed massive choroidal invasion, post-laminar optic nerve invasion, and surgical margins free of tumour - high-risk histopathological features which increased the risk of metastatic disease. However, no meningeal involvement was detected. Hereditary Rb was confirmed by genetic testing. Therefore, the child underwent four cycles of adjuvant chemotherapy. Despite this, the child presented with seizures three months later. Follow-up MRI revealed a large intracerebral mass (Figure 2) with meningeal infiltration. Lumbar puncture confirmed the presence of tumour cells in the cerebrospinal fluid, indicating CNS spread.
Although palliative care was proposed, the family chose to pursue further curative treatment, but unfortunately additional chemotherapy resulted in minimal improvement. The panel agreed that while aggressive management with adjuvant chemotherapy is crucial in cases with high-risk features, CNS involvement significantly worsens the prognosis, and the treatment approach should be carefully tailored to each patient’s condition and family preferences.
This case underscored the complexity of managing Rb with high-risk histopathological features, particularly post-laminar optic nerve invasion. It highlighted the importance of early, aggressive intervention, careful follow-up, and the ongoing need for research into more effective treatments for CNS-involved Rb.
4. Recurrent Rb in a single functional eye
Presenting Team: Moshi, Tanzania
The team presented a three-month-old infant initially with leukocoria in the left eye. Four months later, the left eye was enucleated, which was classified as Group E, low risk. Therefore, no additional treatment was given.
Four months later, a new Group C lesion was detected in the right eye. The child was treated with multiple cycles of systemic chemotherapy (VEC), sub-Tenon carboplatin injections, and laser therapy, leading to tumour regression.

Figure 3: Lesion with localised haemorrhage, scar and different regression patterns.
Over the next two years, the child developed multiple recurrent lesions near the optic disc and macula (Figure 3). Despite 18 cycles of VEC, intravitreal melphalan, and laser therapy, the tumours continued to recur, and second-line chemotherapy was stopped due to toxicity. At this stage, the panel was asked: “What would you do next?”
- More systemic VEC (6%)
- Enucleation of the only eye (18%)
- Refer abroad for intra-arterial chemotherapy (65%)
- Vitrectomy and intravitreal melphalan (11%)
The team referred the child to Barcelona for IAC, as enucleation of the only functional eye was seen as a last resort. After treatment in Barcelona, the child responded well and is expected to return to Tanzania.
Consensus: The panel agreed to suggest to the team that IAC was the next best option. They explored other treatment options like vitrectomy with IVC and external beam radiotherapy, depending on local resource capacity. The case underscored the challenges of managing recurrent Rb in resource-limited settings and highlighted the importance of access to advanced treatments like IAC.
Guest lecture by Dr Brenda Gallie: Thoughtful recognition of MYCN retinoblastoma
As is tradition, Rb-NET MDT challenges invite an international expert to deliver a guest lecture. This year’s keynote speaker, Dr Brenda Gallie - a global leader in advancing equitable care in resource-limited settings - presented on the topic, ‘Thoughtful Recognition of MYCN Retinoblastoma’. She shared key insights into the discovery of MYCN amplified Rb and its implications for clinical care and genetic counselling. Dr Gallie began by recounting a memorable case of a young infant with Rb. Despite early efforts, RB1 mutation testing came back negative, which led her team to investigate alternative genetic causes. In 2010, she helped identify a distinct subgroup of MYCN-driven tumours. Through collaborations with other labs, her research showed significantly elevated MYCN expression in these cases, reshaping how we understand Rb biology.
Dr Gallie also explored the potential of cell-free DNA analysis using aqueous humour samples for non-invasive genomic profiling that would accurately distinguish MYCN-driven from those initiated by loss of both RB1 gene alleles [6]. She highlighted how MYCN-driven tumours, though large, rarely spread to the central nervous system. Addressing the challenge of genetic testing in resource-limited settings, she spoke about initiatives in Kenya to establish local genetic labs and stressed the need for global expansion of such efforts.
Her talk underscored the importance of recognising MYCN tumours as a distinct subgroup of Rb. Dr Gallie’s work serves as a reminder that advancing research and ensuring equitable access to genetic testing are essential for improving outcomes for children with Rb.
Final thoughts
The Rb-NET MDT platform has reshaped global Rb care by fostering international collaboration and knowledge exchange. This digital space brings clinicians from around the world together to share strategies for managing a deadly paediatric tumour. Differences in healthcare systems and resource availability highlight just how challenging it can be to treat these children. Initiatives like Rb-NET expose the harsh reality of inequitable access to care - as reflected in the varied poll responses, where local practices and contextual differences drove management decisions - and reinforce the need for collective global efforts to close these gaps.
The ‘Challenges’ session provided invaluable insights into the complexities of Rb management. Through live polls and expert discussions, the interactive format underscored the critical role of a multidisciplinary approach and the importance of tailoring treatments based on local resources. By fostering collaboration, platforms like Rb-NET MDT are already making a real impact on outcomes for children with Rb.
The Paediatric Initiative for Childhood Cancer has set an ambitious target: to increase survival rates for children with retinoblastoma to at least 60% by 2030, especially in LMICs [7]. Are we getting close?
While the success of Rb-NET MDT highlights what is possible when expertise is shared, it also reminds us of the glaring disparities in access to advanced treatment. Addressing these inequities requires more than clinical expertise; it calls for coordinated policy advocacy, strengthening capacity in under-resourced settings, and increased investment in research and infrastructure.
References
1. Rb-NET MDT Project.
https://www.rb-net-mdt.org
2. Dimaras H, Corson TW, Cobrinik D, et al. Retinoblastoma. Nat Rev Dis Primers 2015;1:15021.
3. Fabian ID, Abdallah E, Abdullahi SU, et al. The Global Retinoblastoma Outcome Study: a prospective, cluster-based analysis of 4064 patients from 149 countries. Lancet Glob Health 2022;10(8):e1128-40.
4. Gallie BL, Ellsworth RM, Abramson DH, et al. Retinoma: spontaneous regression of retinoblastoma or benign manifestation of the mutation? Br J Cancer 1982;45(4):513-21.
5.Dimaras H, Khetan V, Halliday W, et al. Loss of RB1 induces non-proliferative retinoma: increasing genomic instability correlates with progression to retinoblastoma. Hum Mol Genet 2008;17(10):1363-72.
6. Berry JL, Cobrinik D, Hicks J. Potential of Aqueous Humor as a Surrogate Tumor Biopsy for Retinoblastoma. JAMA Ophthalmol 2018;136(5):598.
7. CureAll framework: WHO global initiative for childhood cancer: increasing access, advancing quality, saving lives. World Health Organization (2021).
https://apps.who.int/iris/handle/10665/347370
[All links last accessed February 2025].
Declaration of competing interests: None declared.
