Background
Orbital emphysema is a condition where air is present in orbit or periorbital tissues [1]. It is most commonly caused by trauma leading to orbit fracture, where air from paranasal sinuses is allowed to enter the orbit. The most common signs caused by orbital emphysema are lid swelling with crepitus and limited eye movements. In most cases, intraorbital air does not cause vision loss and self-resolves spontaneously [2].
Case report
A 36-year-old man presented with a two-day history of blunt trauma to the left eye. He was hit in the eye by an elbow at running speed during a football match. Initially his symptoms were mild blurry vision, but he reported sudden lid swelling and pain when he blew his nose a day after the injury.

Figure 1: Conjunctival emphysema in the inferior temporal conjunctival fornix.
At presentation, his vision was 6/6 in both eyes, with intraocular pressure (IOP) of 11 and 18 in the right and the left eye respectively. On examination, he had diffusely swollen left upper and lower eyelids with palpable crepitus felt. Slit-lamp examination also revealed conjunctival emphysema in the inferior temporal conjunctival fornix (Figure 1). Otherwise, exophthalmometry was symmetrical in both eyes and there was no other vertical or horizontal dystopia of the globe. There were a full range of eye movements with no limitation or diplopia, and the orbit was not tense. Slit-lamp examination revealed some mild anterior iritis with 1+ cells, but there was no other iris, lens, or other anterior segment abnormality found. Dilated fundus exam was unremarkable, and there were no vitreoretinal abnormalities found. Visual fields were full, and colour vision with Ishihara’s plates were full.


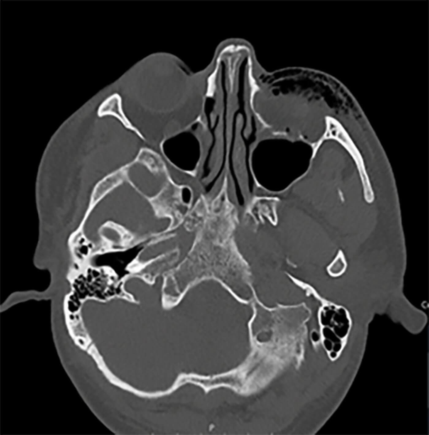
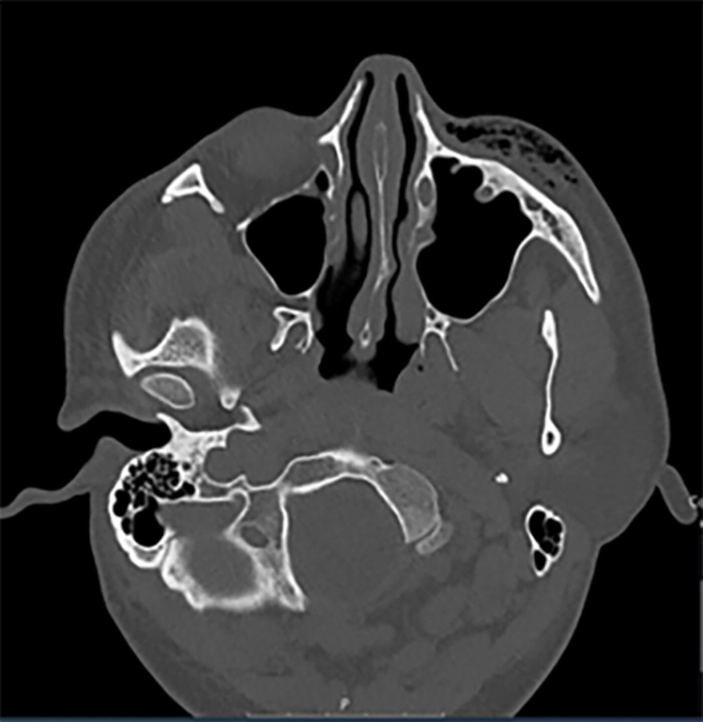
Figure 2: CT orbit demonstrating surgical emphysema in the left orbit.
There is comminuted fracture of the floor of the posterior left orbit and superior maxillary wall.
The patient was diagnosed as having left traumatic iritis, with suspected inferior orbital rim fracture on the basis of the examination and history. He was started on oral co-amoxiclav 625mg three times a day for seven days, and a tapering course of dexamethasone eye drops with cycloplegia. He was given a cartella shield, and advised not to blow his nose. After discussion with his local maxillofacial team, he was referred for imaging and ongoing management the next morning.
"In rare cases, orbital emphysema can lead to vision loss due to optic nerve damage or central retinal artery occlusion"
A computed tomographic (CT) orbits showed surgical emphysema and air in the subcutaneous soft tissues to the left orbit. There was also pneumocephalus in the postseptal fat around the optic nerve. There was a comminuted fracture of the floor of the posterior left orbit and superior maxillary wall (Figure 2). The patient was managed conservatively by his local maxillofacial team, but was subsequently lost to follow-up two months after presentation.
Discussion
This case report demonstrates the importance of considering orbital emphysema in patients with facial bone fracture. In rare cases, orbital emphysema can lead to vision loss due to optic nerve damage or central retinal artery occlusion. Also, clinicians should be aware of the potential complication such as acute compartment syndrome due to increasing intraorbital pressure. Multidisciplinary team management with maxillofacial surgeons should be carried out for possible surgical drainage of trapped air.
References
1. Moon H, Kim Y, Wi J, et al. Morphological characteristics and clinical manifestations of orbital emphysema caused by isolated medial orbital wall fractures. Eye (Lond) 2016;30(4):582-7.
2. Key SJ, Ryba F, Holmes S, Manisali M. Orbital emphysema - the need for surgical intervention. J Craniomaxillofac Surg 2008;36(8):473-6.
COMMENTS ARE WELCOME

