History
-
A 55-year-old diabetic male presents with some annoying floaters in his left eye.
-
Slit-lamp examination shows multiple well defined bodies within the vitreous cavity, in an eye otherwise showing background diabetic retinopathy.
-
The patient elects to undergo a vitrectomy.
-
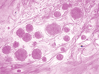
Figure 1 - hematoxylin and eosin stain (H&E).
-
Figure 2 - polarised optics.

Figure 1.

Figure 2.
Questions
1. What are these deposits in the vitreous?
2. What are they composed of?
3. Which conditions is this condition associated with?
4. What is the pathogenesis?
5. What is the aetiology of this condition?
6. Which three major studies examined the incidence of this condition?
Answers
1. These are the deposits of asteroid hyalosis.
2. Calcium, phosphates and phospholipids.
3. Age, diabetes mellitus, hypertension, hypercholesterolaemia, lipidaemia, increased serum calcium levels, intraocular tumours - the link is controversial.
4. Unknown. There are several theories, although recent animal studies appear to suggest that lipids diffuse from a degenerate retina into the vitreous.
5. This is unknown at present. See point 3 above.
6. Beaver Dam Study (out of 4,952, asteroid hyalosis was present in 1.2%. Prevalence 0.2% in subjects aged 43-54 years and 2.9% in those aged 75-86 years. Asteroid hyalosis was mainly unilateral and was more prevalent in men); The Australian Blue Mountains Eye Study (3,654 patients aged 49-97 years with 1% prevalence of asteroid hyalosis. Prevalence increased with age from 0% for those aged 49-55 years of age to 2.1% for those aged 75-97 years); University of California at Los Angeles (UCLA) autopsy eye database (10,801 patients examined. Prevalence 1.96%, from 1,965 to 2,000).
COMMENTS ARE WELCOME
