History
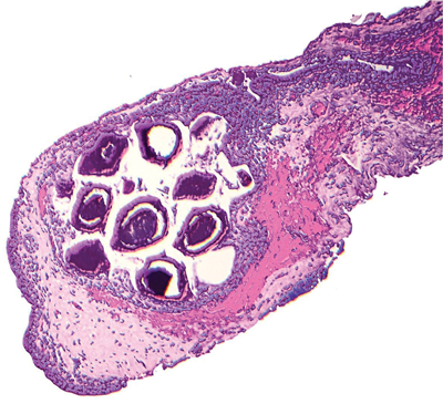
A 60-year-old white Caucasian male, with a history of acne, presented with slate grey pigmentation of his upper forehead, pre-auricular skin, peri-oral area, forearms and shins. The conjunctivae showed bilateral lower tarsal conjunctival multiple black dots. One of these dots was sampled (see Figure 1).

Figure 1.
Questions
-
What type of epithelium lines the conjunctiva?
-
What is seen in the histology image?
-
Given the appearance in the figure, which questions
should the patient be asked?
-
What is the diagnosis?
Answers
1. Non-keratinising, goblet cell containing stratified squamous epithelium.
2. This shows black / brown concretions
in cysts.
3. Drug history!
4. These are minocycline pigmented concretions. This drug is well recognised to cause pigmentation of sun-exposed skin (increased melanin production) and cause pigmented concretions (iron and drug metabolites, not melanin). Many drugs are associated with conjunctival ‘pigmentation’ of which another example is chlorpromazine.
Further reading
1. Brothers DM, Hidayat AA. Conjunctival pigmentation associated with tetracycline medication. Ophthalmology 1981;88(12):1212-5.
2. Messmer E, Font RL, Sheldon G, Murphy D. Pigmented conjunctival cysts following tetracycline/minocycline therapy. Histochemical and electron microscopic observations. Ophthalmology 1983;90(12):1462-8.
COMMENTS ARE WELCOME
