History
A 76-year-old female presented at her local district general hospital with right decreased visual acuity, glare, and foreign body sensation, in addition to longer-term dry eyes. She was otherwise well. Her past medical history included hypertension.
On examination: vision in the right eye was 6/24 and in the left 6/9 aided. Slit-lamp examination of the right eye found grey-white subepithelial nodules in the paracentral cornea, and peripheral scarring. The other eye showed superficial punctate erosions inferiorly but was otherwise normal. There were no other significant examination findings.
Nodules from the right cornea were excised and sent to our ophthalmic pathology centre.
Questions

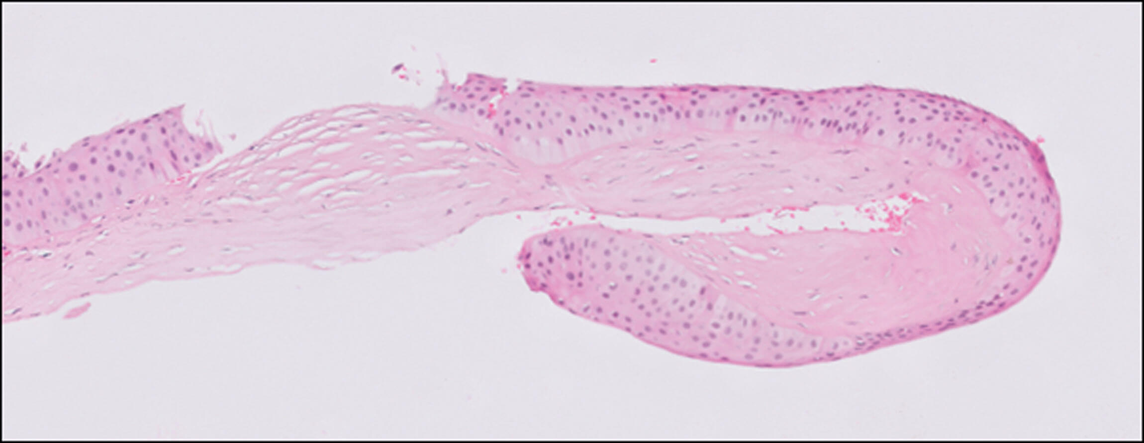
Figure 1.

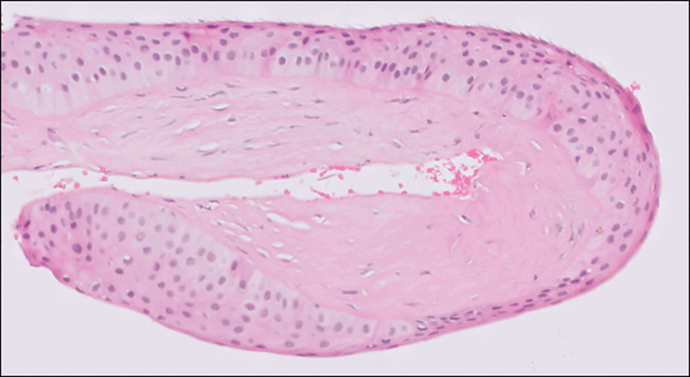
Figure 2.

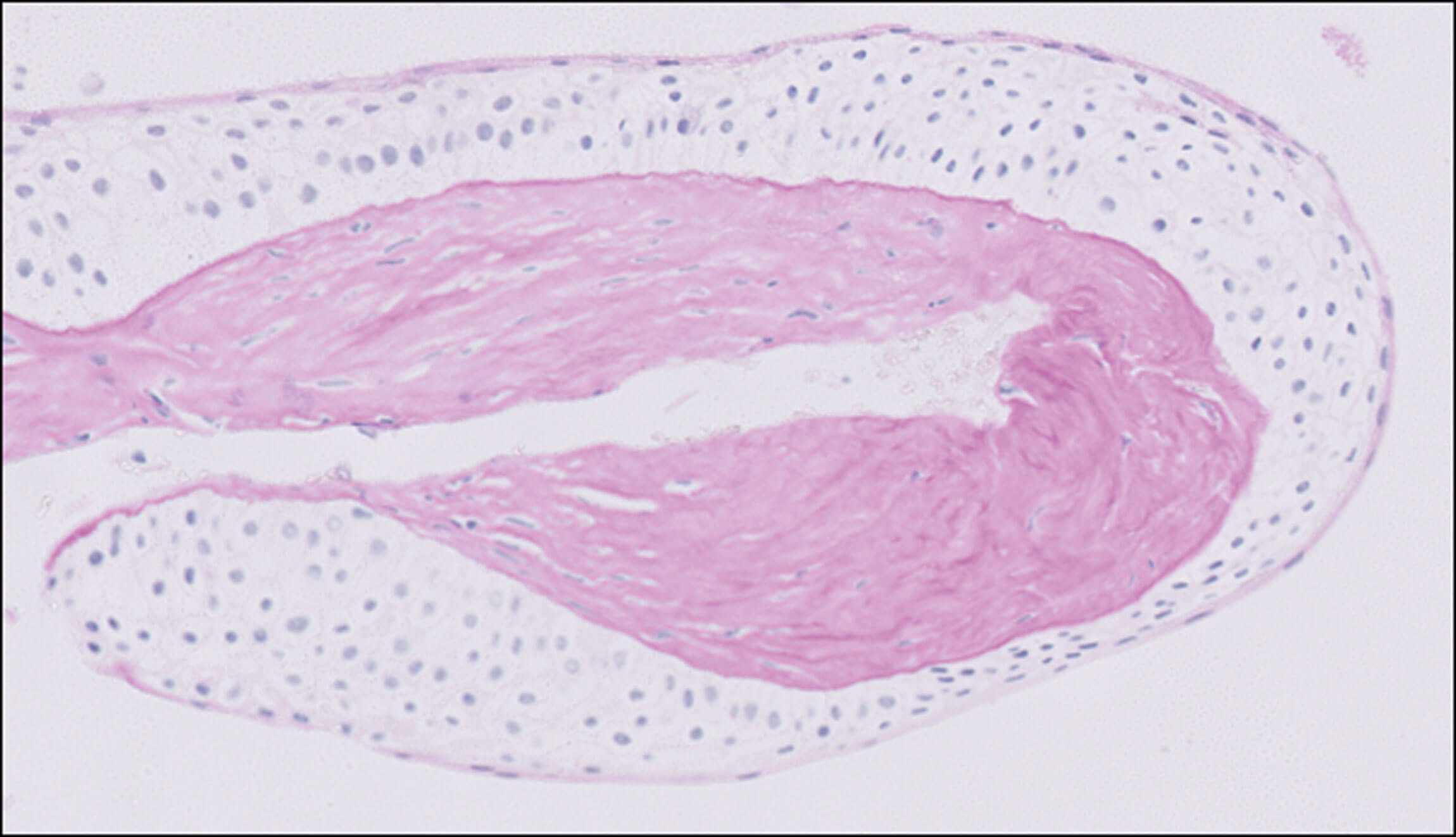
Figure 3.
- Figures 1-3 show representative H+E and diastase-periodic acid Schiff (DPAS) stained sections of the lesion. How can this be described?
- Considering the clinicopathological features, what is the diagnosis?
- In what other conditions can these histological appearances occur?
- What are the management options?
Answers
- The specimen comprises corneal epithelium with superficial anterior stroma. The epithelium is markedly attenuated over nodular areas of hyalinised, condensed collagen. Bowman’s layer is absent (Figures 1 and 2). DPAS staining highlights the slightly thickened subepithelial basement membrane, the nodular areas, and the irregularity of collagen fibres elsewhere.
- The clinical and histological features are those of Salzmann’s nodular degeneration (SND).
SND is a rare, slowly progressive degenerative condition characterised by grey-white nodules occurring classically in the mid to peripheral cornea. It occurs more commonly in women and in the fifth decade of life. Around two-thirds of cases are bilateral. Although the pathogenesis is poorly understood, it is mainly seen as a late complication of chronic keratitis (vernal keratoconjunctivitis, interstitial keratitis, phlyctenular keratitis, trachoma); post-corneal surgery or trauma, or can be idiopathic. Most patients are asymptomatic, but the most common presenting symptoms are reduced visual acuity and pain (if loss of epithelium). The diagnosis is usually made by slit-lamp examination and reveals discrete grey-white nodules in the paracentral cornea or at the edge of a corneal scar. - The histological features of SND show localised degeneration at the level of Bowman’s layer with attenuated epithelium over eosinophilic hyalinised collagen nodules. Similar appearances can be present in degenerative pannus or old corneal scars.
- Management involves identification and treatment of the underlying keratitis. Conservative management with lubricants with / without bandage contact lens is usually sufficient. If there is visual loss then, options include: superficial keratectomy, excimer laser keratectomy, alcohol delamination, or lamellar keratoplasty may be required.