Chorioretinal or choroidal folds are parallel striations involving the retina, retinal pigment epithelium (RPE), Bruch’s membrane, and inner choroid [1]. They can arise from compressive stress on these layers, and their presence often serves as a diagnostic marker for underlying pathology.
This case report highlights the potential pitfalls of virtual consultation models in the timely recognition of such pathologies, in this case papilloedema. The authors emphasise the importance of targeted education, protocol development, and a risk-dependent approach to patient care to ensure safety and efficacy.
Case
A 51-year-old southeast Asian male presented to his optometrist with bilateral mild visual disturbance, slowly progressive over 12 months. He had a past medical history of treated non-ocular tuberculosis and primary hypertension. Refraction was unremarkable except for a mild hypermetropic progression, with normal anterior segments and intraocular pressures. He was referred to the hospital eye service after the optometrist noted a wrinkled appearance to his maculae. The referral was triaged into the routine virtual medical retina service. This took place five months later, with the optical coherence tomography (OCT) images reported as bilateral epiretinal membranes. A routine medical retina clinic appointment was arranged and he was eventually seen 10 months after his original optometrist assessment.

Figure 1: Bilateral choroidal folds with horizontal corrugations.

Figure 2: OCT in keeping with chorioretinal folds.
Systems enquiry revealed a mild persistent global headache of 24 months duration, lacking other sinister neurological features. He denied a history of ocular surgery, pain, diplopia and proptosis. Examination of the fundi revealed bilateral horizontal corrugation of the retinae (Figure 1). The discs themselves appeared hyperaemic, with absence of spontaneous venous pulsations. Review of the OCT images revealed corrugation of the neurosensory retina, RPE and choroid, in keeping with chorioretinal folds (Figure 2). This appearance was also present on the original virtual clinic OCT and prompted a search for the underlying pathology.

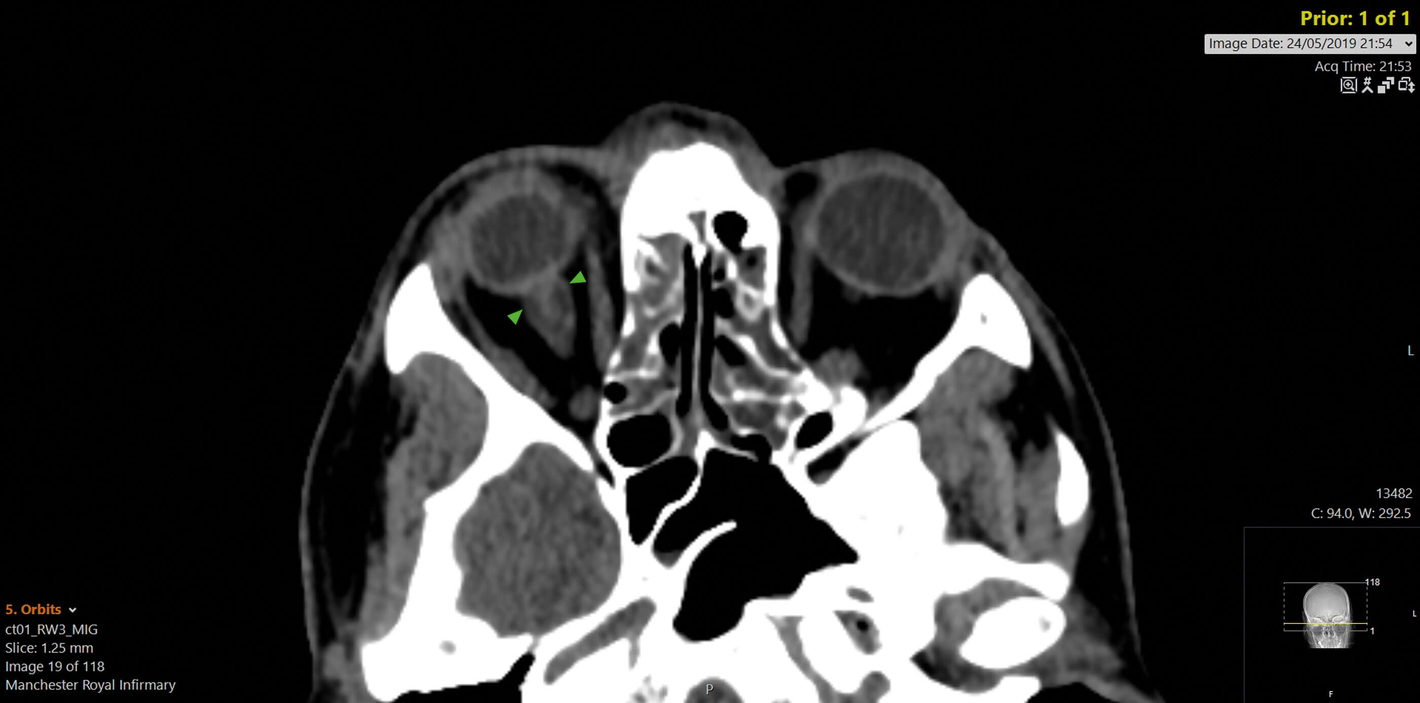
Figure 3: CT head showing dilatation of optic nerve.
Tumour, hypotony, inflammation and retrobulbar mass were excluded. The appearance of the optic discs raised suspicion for grade one papilloedema bilaterally. He was urgently referred to the medical team, where a computed tomography (CT) scan revealed evidence of chronic raised intracranial pressure with dilatation of the optic nerve sheaths (Figure 3) and an empty sella. Lumbar puncture demonstrated raised opening pressure with normal cerebrospinal fluid (CSF) composition. He was eventually diagnosed with idiopathic intracranial hypertension and managed medically with success.
Discussion
Symptoms of chorioretinal folds range from nothing to permanently impaired vision depending upon the causative pathology. The appearance on fundal exam, red-free and autofluorescence imaging and fluorescein angiography is characteristic, with alternating light and dark bands that represent RPE compression and stretching. Typical causative factors can be recalled using the non-exhaustive mnemonic THIN RPE: tumour, hypotony / hyperopia, inflammation / idiopathic, neovascularisation, retrobulbar mass, papilloedema, and extraocular hardware. Diagnostic algorithms have previously been proposed [2].
The horizontal orientation of choroidal folds often makes their detection difficult on a horizontal line OCT. In Figure 2, the subtle choroidal undulations are visible to the keen eye, an observation that would be much more conspicuous on a vertical line scan [3].
The increasing use of telemedicine and artificial intelligence [4] has caused a shift in the workload distribution within healthcare, via a division of labour based on experience and seniority. In the context of ophthalmology, successful models have encompassed a broad spectrum of disease, from retinopathy of prematurity screening to glaucoma and medical retina monitoring programmes [5]. The common denominator dictating the success of such models is patient safety, as its absence will render any such programme untenable. While most conditions detected within the medical retina virtual clinic are not an immediate threat to the patient’s general health, papilloedema remains an exception to this rule.
While the promises of virtual clinics make it an alluring enterprise, and many initial teething problems of this approach to consulting have been addressed, a proactive approach to the identification and resolution of future unknown challenges must be employed. In this particular instance the authors propose four suggestions:
- A regular training programme reminding virtual clinic practitioners of the uncommon sight and life-threatening conditions, and their potential presentations and investigation findings.
- The routine use of vertical line scans when atypical retinal fold patterns are detected.
- An interdisciplinary protocol should be in place for discussion and escalation of suspicious cases with more senior clinicians.
- Collection of responses to open-ended and targeted questions from virtual patients regarding relevant symptoms may help guide clinicians reviewing scan results at a later date in identifying more uncommon pathology.
References
1. Grosso D, Borrelli E, Sacconi R, et al. Recognition, Diagnosis and Treatment of Chorioretinal Folds: Current Perspectives. Clin Ophthalmol 2020;14:3403-9.
2. Williams BK Jr, Chang JS, Flynn HW Jr. Optical coherence tomography imaging of chorioretinal folds associated with hypotony maculopathy following Pars Plana vitrectomy. Int Med Case Rep J 2015;8:199-203.
3. Bagnis A, Cutolo CA, Corallo G, et al. Chorioretinal folds: A proposed diagnostic algorithm. Int Ophthalmol 2019;39(11):2667-73.
4. Daich Varela M, Sen S, De Guimaraes TAC, et al. Artificial Intelligence in retinal disease: Clinical application, challenges, and Future Directions. Graefes Arch Clin Exp Ophthalmol 2023;261(11):3283-97.
5. Kern C, Kortuem K, Hamilton R, et al. Clinical Outcomes of a Hospital-Based Teleophthalmology Service: What Happens to Patients in a Virtual Clinic? Ophthalmol Retina 2019;3(5):422-8.
Declaration of competing interests: None declared.
COMMENTS ARE WELCOME

