When the coronavirus pandemic hit, many of the things we enjoy were postponed or cancelled, including the 2020 Ophthalmic Imaging Association (OIA) conference. The Ophthalmic Imaging Association committee began focusing on 2021 but it soon became apparent a face-to-face conference was not going to be possible. Whilst sadness spread across the team, we jumped on board the virtual bandwagon and the OIA virtual conference began to flourish.
The 5th November brought together a range of eye professionals and sub-specialties to enjoy a day’s learning. After a welcome from our immediate past chair Colin Clements, we enjoyed a range of presentations from our supportive trade representatives. Hearing about current machines, eye drops, new technologies and software advances had me reaching for my cheque book and considering re-mortgaging my house!
Gloucestershire University has a range of ophthalmic related courses, and Tracy Longden-Thurgood treated us to an update on their latest project; Healthcare Science Practitioner Apprenticeship BSc incorporating ophthalmic imaging. Due to start in September, it’s a three-year course open to apprentices and those already working in practices. This new way of working also comes with the prospect of registering with the academy of healthcare science upon completion:
https://www.glos.ac.uk/courses/course/dahso-da-healthcare-science-practitioner-l6/
https://www.glos.ac.uk/courses/course/hso-bsc-healthcare-science/
University Hospitals Leicester have been successful in expanding the role of the ophthalmic science practitioners (OSPs) with the introduction of specialist OSPs. Kayleigh Parker was next up to explain what they are doing and how they have achieved it. With three staff members trained to interpret optical coherence tomography (OCTs) and images, they have a range of photographer lead clinics helping to deliver an excellent service to patients and to help clinicians tackle the COVID-19 backlog. An insightful talk to make us think about our own practices and ways of working.
The Ophthalmic Imaging Association recently appointed a new president; Niamh Stone. The Consultant Ophthalmologist from Oxford Eye Hospital treated our virtual audience with a talk entitled ‘Myopic mysteries unravelled’. As our keynote speaker, Niamh began her talk with an anecdote about her love of teasing her younger brother. Years of hiding his glasses when they were children clearly helped Niamh find her passion and lead to her research into myopia; sharing her insights, and leaving the audience clinging to their glasses!
Topcon Imaging Competition Winners 2021

Emily Hogan, Nottingham University Hospital, Ophthalmic Related, Runner up.

Rob Hancock, Wirrall University Teaching Hospital, Overall Winner.

Natalie Luke, Royal Free London, FA/ICG, Winner.

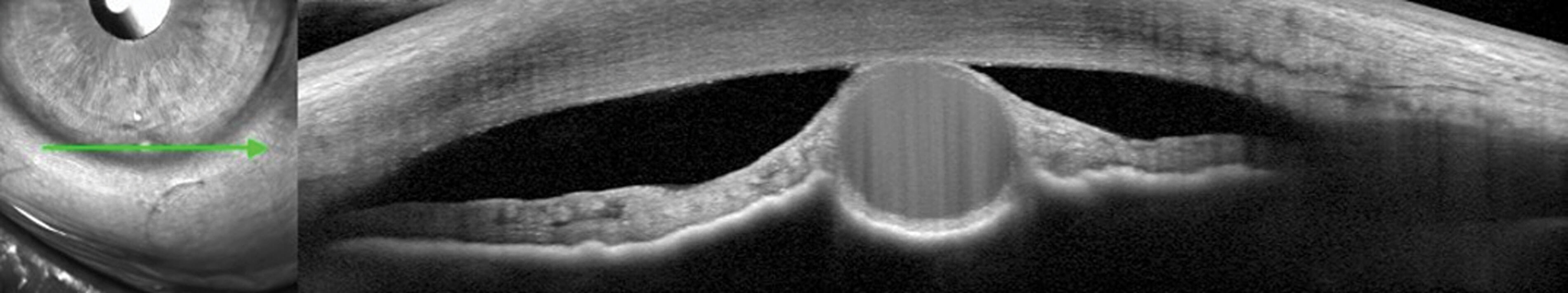
Martin McLeod, NHS Grampian, OCT, Winner.
To break up the screen time, regular intervals were added to the programme. A time to stretch our legs and enjoy a slideshow of the 2021 Topcon competition entries. I was in awe of the quality of images entered this year and I urge everyone to keep an eye on the OIA website to see our very worthy winning images. Well done to everyone who entered. Some of the winning images are represented in this article, and the overall winner will be featured on the cover of Eye News soon.
A quick virtual visit to Nottingham introduced us to Imran Jawaid, a new medical member of the OIA. Paediatric Consultant Imran explained the importance of imaging when querying swollen discs. Often a very hot topic, as many hospitals have their own very different approaches and protocols. He shared a range of images which were taken using a variety of techniques.
Before our final talk of the day, I shared a little story about Nottingham Hospital and the trials and tribulations of research projects. Let’s just say, don’t touch things you shouldn’t, as they might go pop!
Our final talk was given by Christiana Dinah: ‘The evolving role of dye angiography in routine medical retina clinics’. Most ophthalmic departments have seen changes to their ways of working since the introduction of OCT angiography, so remembering the importance of our dear friend fluorescein was refreshing to hear.
The first virtual Ophthalmic Imaging Conference was a big success. The audience were engaged and asked insightful questions throughout. A couple of technical issues were to be expected but thankfully nothing too disastrous happened. The organising team certainly breathed a sigh of relief after pressing the right buttons in the correct order! OIA chair Rosalyn Painter worked very hard to pull everything together. Her determination to make the event a triumph was recognised by the team with a presentation of some Bristol Blue glass.
Our speakers were insightful, and together they covered a broad range of relevant topics. Whilst we hope 2022 will see us back together face-to-face, this has opened-up discussions around future virtual events, where we welcome new speakers to join in. The OIA virtual conference was free to members and with the hope of arranging future events, we encourage new members to sign up via our website: https://eyeimaging.org/
COMMENTS ARE WELCOME

