Case report
A 16-year-old Caucasian male was referred to the eye casualty at Nottingham University Hospitals NHS Trust by the infectious diseases unit in September 2013. He gave a history of photophobia, pain on eye movements and central blurred vision in the right eye for 10 days.
Three weeks prior to the onset of ocular symptoms, he had been admitted and treated for high fever which he acquired while travelling in the Southeast Asian countries, Thailand, Malaysia, Cambodia and Singapore. He also gave a history of smoking marijuana but no other recreational drugs. His illness began while he was still abroad, with general fatigue and a throbbing headache followed by photophobia and neck stiffness. He also had one episode of epistaxis. All this settled by the time he returned to the UK but his central visual problem in the right eye persisted. On admission, he was noted to have a low platelet count (126 109/L) and mild neutropaenia (1.4 109/L). Clotting screen was normal and he was apyrexial. Malarial films were negative. A diagnosis of dengue fever was confirmed after IgM and IgG antibodies for dengue virus serotype one were detected in his serum. He was treated for his constitutional symptoms.
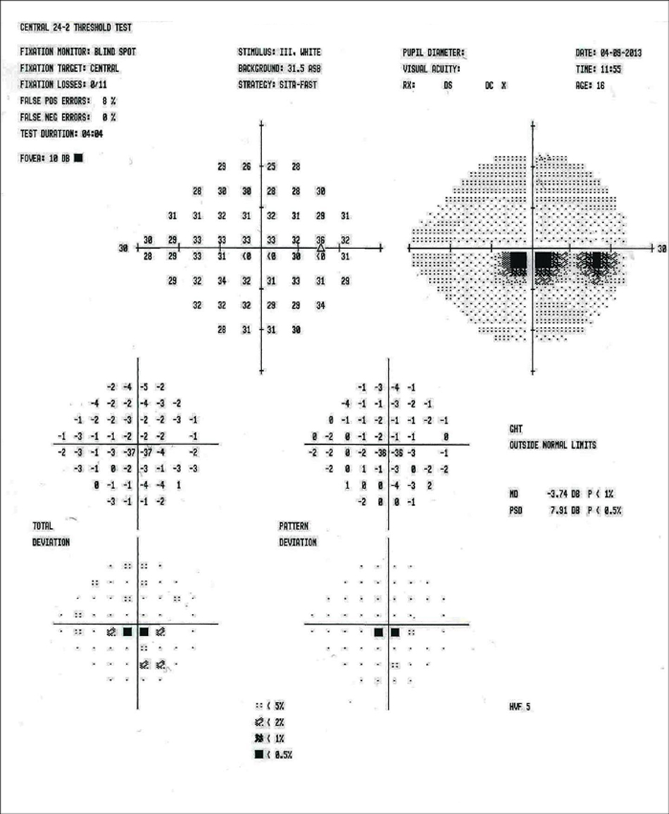
At first ophthalmic visit, visual acuity was recorded as log MAR 0.5 unaided (pinhole 0.3) right eye and 0.0 unaided left eye. Anterior segment examination by slit-lamp was normal in both eyes. Extraocular movements were full and painless. Intraocular pressures were 14mmHg in either eye (Goldmann applanation tonometry). Fundus examination did not show any obvious optic neuropathy or maculopathy but Humphrey visual field testing demonstrated a central scotoma in the right eye as shown in Figure 1.

Figure 1: Humphrey visual fields right eye demonstrated central scotoma defects; 1st visit.
Colour fundus photograph showed two pale spots at the right fovea (Figure 2) and left fundus was normal. Optical coherence tomography (OCT) macula was reported as normal. Electrophysiology testing including pattern visual evoked potential (pVEP), pattern electroretinogram (pERG), flash ERG, multifocal ERG (mfERG) and multifocal VEP (mfVEP) conforming to the International Society for Clinical Electrophysiology of Vision (ISCEV) standards were performed. Flash ERG, pERG and mfERG were normal in both eyes. The pVEP demonstrated normal bilateral optic nerve function but the response to small check stimulation of the right eye was slightly broader and delayed than the left eye. This was not considered significant and repeat testing was advised by the evoked potential clinic.

Figure 2: Colour fundus photograph showed two pale spots at the right fovea.
He was seen again in the clinic (November 2013) with reports. Right eye vision was log MAR +0.1; left eye vision -0.1. Colour vision was full in both eyes and there was no relative afferent pupil defect. Fundus examination was normal. There was a repeatable central scotoma on visual field testing. Fundus fluorescein angiogram was advised but declined by the patient. He was managed conservatively as objective and subjective vision was improving.
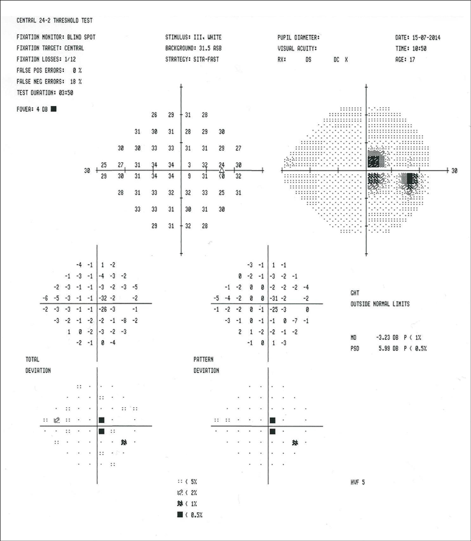
Twelve months later, right eye visual acuity was log MAR 0.2, with no improvement with pinhole. Anterior and posterior segment examination revealed no significant abnormality in either eye. Humphrey visual fields were repeated and found a persistent central scotoma in the right eye as shown in Figure 3 on his second visit Humphrey visual fields test. Electrophysiology tests were also repeated and there was no deterioration in retinal or optic nerve function reported.

Figure 3: Humphrey visual fields right eye demonstrated central scotoma defects; 2nd visit.
Twenty-four months after presentation, in November 2015, his visual acuity had improved to log MAR 0.08 in the right eye and he was asymptomatic. There were no abnormalities found on fundus examination and Humphrey visual field 30-2 testing demonstrated remarkable improvement as shown in Figure 4 and overview of the visual fields defect shown in Figure 5 from the last three visits. PSD had improved from 7.91 to 2.36 DB. MD had improved from -3.74 to -1.96 DB. He was discharged at this stage.

Figure 4: Humphrey visual fields right eye demonstrated central scotoma defects; 3rd visit.

Figure 5: Overview Humphrey visual fields right eye demonstrated central scotoma defects.
Discussion
Dengue fever is a mosquito-transmitted viral disease that is endemic mainly in the Southeast Asia and the western Pacific region [1]. Dengue fever is known to affect various organs including the eye [1,2], although ocular manifestation is uncommon [3].The commonest presenting complaint is blurring of vision [3]. The majority of ocular changes are seen in the posterior segment and include intraretinal haemorrhages, cotton wool spots and retinal oedema [1,3]. Such complications can be vision threatening and need urgent ophthalmic consultation. A thorough search (PUBMED) did not reveal any report of persistent central scotoma over a two-year period as a manifestation of dengue fever.
Dengue eye disease can be either unilateral or bilateral. The time of onset of ocular symptoms ranges from two days to five months from the start of fever, but most ocular symptoms are noted to have occurred within one day of the nadir of thrombocytopenia (~7 days after the onset of fever) [5].Teoh, et al. found that macular oedema was the most common pathology - it occurred in 76.9% of patients in their sample populations and the second most common finding on ophthalmoscopy was macular haemorrhage (69.2%) patients. This can be seen on funduscopy as scattered blot and flame haemorrhages. Anterior segment abnormalities can include subconjunctival haemorrhage, corneal erosion, acute angle closure and anterior uveitis.
Three patterns of maculopathy on OCT have been described in literature [6]: (1) diffuse retinal thickening, (2) cystoid macular oedema and (3) foveolitis. Our patient’s presentation and fundus findings are consistent with foveolitis. The visual outcome was independent of the extent of oedema, but scotomata persisted longest in patients with foveolitis and shortest with those with diffuse retinal thickening [6].
There is no known effective treatment for dengue maculopathy and there are no randomised controlled trials to date. Studies that reported treatment response have been unable to comment on any benefit of treatment because of a lack of control group for comparison [7]. Although various treatment methods were based on the clinical presentation of the disease, active surveillance and corticosteroid therapy were the main treatment modalities used to date. Most lesions resolve spontaneously over time. These include subconjunctival haemorrhages, retinal and macular haemorrhages and optic neuritis.
Chan, et al. observed 11 patients with ocular symptoms suggestive of dengue maculopathy, reporting a median recovery time of three days without treatment. Topical steroids were prescribed in cases of anterior uveitis and acute primary angle closure. Systemic corticosteroids used in dengue eye disease included oral prednisolone and / or intravenous methylprednisolone. They were used in patients with maculopathy, uveitis and optic neuritis.
Based on their observations, Bacsal, et al. suggested that cases with intraretinal vascular or choroidal leakage, evidence of active ocular inflammation and foveal swelling had a higher likelihood of benefit from steroid treatment, whereas patients with vaso-occlusive disease were associated with residual scotomata [1]. Teoh, et al. noted a case of optic neuritis and maculopathy treated with intravenous methylprednisolone followed by oral prednisolone with improvements of best corrected visual acuity (BCVA) and resolution of macular oedema, but without full resolution of BCVA, colour vision and scotoma at six-month follow-up [6].
Conclusion
Anyone can develop dengue, and it is estimated that 100-million cases of dengue occur each year worldwide. There can be sudden outbreaks of cases (epidemics) where thousands of people can become infected in a short space of time. In 2013, there were 541 reported cases in England, Wales and Northern Ireland. Most of these cases were in people returning from destinations such as India, Thailand and Barbados.
Health professionals should be alert to the possibility of dengue in those who have recently returned from an endemic area presenting with a fever or flu-like illness. Eyecare professionals should be aware of the various ocular manifestations of dengue as the reporting of these has increased dramatically in the past several years.
References
1. Bascal KE, Chee SP, Cheng CL, et al. Dengue-associated maculopathy. Arch Ophthalmol 2007;125(4):501-10.
2. Su DH, Bascal K Chee SP, et al. Prevalence of dengue maculopathy in patients hospitalised for dengue fever. Ophthalmology 2007;114(9):1743-7.
3. Lim WK, Mathur R, Koh A, et al. Ocular manifestations of dengue fever. Ophthalmology 2004;111(11):2057-64.
4. Dengue fever in England, Wales and Northern Ireland: 2012. Public Health England.
http://www.hpa.org.uk/webc/HPAwebFile/
HPAweb_C/1317138961007
[last accessed July 2023]
5. Chan DP, Teoh SC, Tan CS, et al. Ophthalmic complications of dengue. Emerg Infect Dis 2006;12(2):285-9.
6. Teoh SC, Chee CK, Laude A, et al. Optical coherence tomography patterns as predictors of visual outcome in dengue-related maculopathy. Retina 2010;30(3):390-8.
7. Ng AW, Teoh SC. Dengue Eye disease. Surv Ophthalmol 2015;60(2):106-14.
COMMENTS ARE WELCOME

