Case report
A 69-year-old female with a long history of Grave’s ophthalmopathy was under routine follow-up when it was noted during a clinic visit that the amount of proptosis and lid retraction in her right eye had remarkably reduced.
A measurement of 20mm was noted compared to three other previous readings before of 24mm, 23.5mm and 24mm. The left eye remained proptosed, with four separate readings of 24.5mm, 24mm, 24.5mm and 23.5mm (Figure 1).

Figure 1.


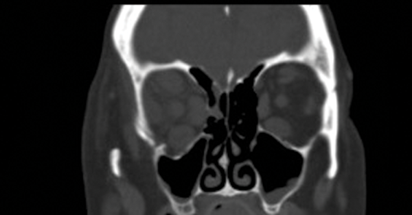
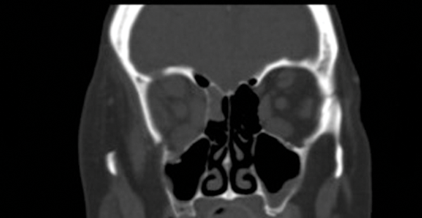
Figure 2: Two CT coronal images showing an interruption in the floor of her right orbit.
Note the enlarged extraocular muscles in thyroid eye disease.
On further questioning, the patient volunteered that nine months prior she had a fall and sustained a heavy black eye with resultant soft tissue swelling. The eye was initially shut due to swelling but following resolution, she noted that her eye was less proptotic than before.
As this was an improvement in the appearance of her eye, she did not notify her clinicians about this change.
An MRI scan was ordered to assess both soft tissue and orbital contour and confirmed an interruption to the floor of the right orbit.
Muscle was not trapped in the defect. There was no worsening of her previous diplopia and no infraorbital anaesthesia.
Comment
There exist many techniques to surgically treat the aesthetic and exposure sequelae of thyroid eye disease [1,2]. They include a one, two, or three wall orbital wall decompression [3] depending on the severity of the exophthalmos. If the floor is part of decompression surgery, a strut is left medially and care is taken not to damage the infraorbital nerve.
To our knowledge, this is the first report of an orbital floor fracture that resulted in a symptomatic improvement for a patient with a thyroid proptosis. This case highlights the importance of identifying unexpected changes in clinical status and why clinicians should have as much of a suspicion for a ‘sudden improvement’ as we do a ‘sudden worsening’ - as this may represent a new clinical entity on a previously existing condition.
References
1. Eckstein A, Schittkowski M, Esser J. Surgical treatment of Graves’ ophthalmopathy. Best Pract Res Clin Endocrinol Metab 2012;26(3):339-58.
2. Boboridis KG, Bunce C. Surgical orbital decompression for thyroid eye disease. Cochrane Database Syst Rev 2011;7(12):CD007630.
3. Paridaens DA, Verhoeff K, Bouwens D, van den Bosch W. Transconjunctival orbital decompression in Graves’ ophthalmopathy: lateral wall approach ab interno. Br J Ophthalmol 2000;84:775-81.
COMMENTS ARE WELCOME

