
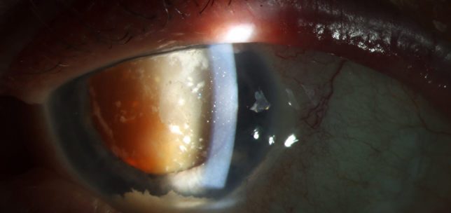
The ANTerior Segment Imaging Competition from Eye News and Keeler promotes and celebrates the work of slit-lamp imaging, culminating in cash prizes and exposure for its winners.
After a successful run in 2024, the ANTS Imaging Competition returned this year with another overwhelming response and our judges were thrilled to have so many amazing images to choose from. We would like to offer a huge congratulations to our winners, honorary mentions, and shortlisted entries, all of which can be seen below. So, without further ado, here some of the best ophthalmic imagers, optometrists and allied professionals in the UK right now:
Winners
Honorary Mentions
Shortlisted Entries
Our panel of judges
Replicating the same format as last year, the competition will be overseen by our four judges:
- Rosalyn Painter: An ophthalmic imager for nearly 20 years, Rosalyn’s passion for anterior segment imaging starting early in her career. As past Chair of the OIA, ophthalmic lead for the University of Gloucestershire Healthcare Science (Ophthalmic Imaging) degree, Rosalyn also manages the GREG education team and works clinically at Gloucestershire Hospitals NHSFT.
- Richard Bell: Richard is a qualified senior medical photographer and ophthalmic research co-ordinator at the Newcastle Eye Centre (NEC), and an external examiner with Gloucestershire University, with numerous photographic awards to his name. Richard is also a Professional Member of IMI, the Institute of Medical Illustrators, and past co-Chair of the British Association of Retinal Screeners.
- Nicola Bennett: As Head of Clinical Education at Keeler, Nicola brings a profound understanding of eye health and optical imaging to the competition. Nicola is extremely passionate about eyecare and enjoys educating eyecare professionals worldwide on the full Keeler product portfolio.
- Hamza Mussa: An optometrist, Hamza runs a social media-based education page known as The Crazy Optom. He has a special interest in education and ophthalmic imaging. Hamza currently works as a lead optometrist in Oxfordshire and is the College of Optometrist's councillor for West Midlands.
Reflecting on his experience of judging for the 2024 competition, Richard Bell stated that, “As one of the competition’s judges, ‘astonishing’ was the first word that sprung to me as I looked through [the] photographs. It was quite difficult to select not just the winning submission but also the runners-up and third place winners. There are a lot of things to consider while judging a photography competition, such as composition, exposure, the focussing, meticulousness, and accurate interpretation of the brief. A huge thank you to everyone who entered and made this a fun competition to judge; every entry did just that, and it was an absolute pleasure to judge.”
