Search
Contact
Advertise
Contribute
Login
Contact
Advertise
Contribute
Search
Subspecialities
Cataract
Cornea
Glaucoma
Imaging
Neuro-ophthalmology
Oculoplastic
Oncology
Orbit
Paediatrics
Pathology
Refractive
Strabismus
Vitreo-Retinal
News
Events
Education Nav
Research Nav
Professional
Product Guide
The Magazine
Login
Search
Neuro-ophthalmology
Filter by year
2025
2024
2023
2022
2021
2020
2019
2018
2017
2016
2015
2014
2013
Sort by
Newest First
Oldest First
Title: A to Z
Title: Z to A
The Diabetic Eye Screening Programme in Tanzania - The VISION 2020 LINK between Dodoma and Belfast
Leadership skills training through the COECSA-RCOphth LINK
6.6.2020 – a celebration of international partnerships
Refined glaucoma referral practice offers prospect of improved capacity and expanded role for primary eye care professionals
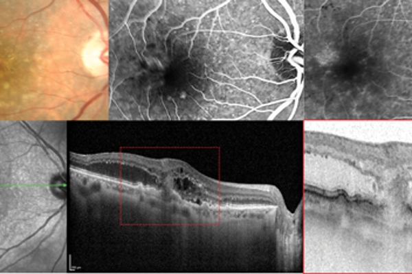
Clinical relevance of the anatomic classification of neovascular age-related macular degeneration
The International Congress of Ophthalmology (ICO): a history
Eye research: where next?
Optic nerve swelling – your survival guide (part 2)
Could the sclera be key to glaucoma?
Considerations in the management of retinal disorders
Should we move towards procedure-specific consent forms?
Pituitary tumours: why are they so often missed? Part 3
Prev
1
2
3
4
5
6
Next