Introduction
High-voltage electrical currents may result in significant ocular complications, ranging from mild cataracts to vision-threatening retinal and optic nerve problems [1]. The severity of damage depends on various factors, including intensity and type of current, duration of exposure, entry and exit sites, and tissue resistance to the current [2].
Here, we report a case of significant retinal damage with ganglion cell loss, followed by rhegmatogenous retinal detachment and macular hole following a high-voltage electric current injury.
Case report
A 23-year-old patient was admitted to burns-ITU following flash burns to the right side of the face, chest, and arm caused by high-voltage electric shock.
His Best corrected visual acuity (BCVA) was hand movement in the right eye and 0.18 in the left eye logMAR. Anterior segment changes could not explain the extent of vision loss in the right eye.
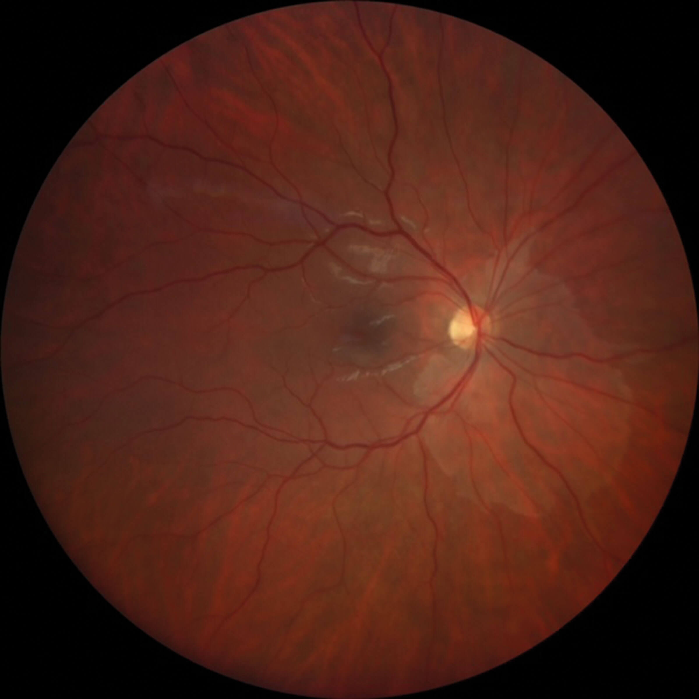
The left eye posterior segment was healthy. However, the right eye showed areas of retinal whitening, involving the peripapillary area, with mild arterial narrowing (Figure 1).

Figure 1: Coloured fundus photo of the right eye, showing whitening
of the retina mainly involving the peripapillary area.
Optical coherence tomography (OCT) scan of the right macula showed hyporeflectivity of the ganglion cell layer (GCL) with relative increase in reflectivity of both plexiform layers. The GCL thickness map showed significant thinning when compared to the unaffected left eye (Figure 2a).

Figure 2: From top to bottom, OCT macula of the right eye: (2a) showing hyporeflectivity of the GCL and relative increase of reflectivity of the plexiform layers; (2b) one week later, showing development of partial PVD; and (2c) one month later, showing macular detachment and macular hole with only a thin roof of internal limiting membrane.
One week later, OCT started showing right partial posterior vitreous detachment (PVD) (Figure 2b).
One month following the electric shock, the patient developed right rhegmatogenous retinal detachment and macular hole and was listed for repair with the vitreoretinal team (Figure 2c).
Discussion
Possible retinal disorders that can occur following an electrical shock injury include macular cysts, macular oedema, macular hole, retinal vascular occlusions, retinal detachment, and optic neuropathy [1-3].
Our case presented with significant visual loss in the right eye immediately following the electric shock, with significant ganglion cell loss. To our knowledge, there are no reports of immediate ganglion cell loss following electric burn, however there are reports of acute occlusive microvasculopathy and vascular occlusions [4].
The patient developed rhegmatogenous retinal detachment and macular hole one month after the injury. Possible mechanisms include concussive forces of the electrical shock causing incomplete PVD and vitreoretinal traction, thermal shrinkage of the vitreous, and ischemia of the retina or the choroid [5].
The case presents a sequence of complex retinal changes following high voltage electric shock, starting with ganglion cell loss and possible ischemia, followed by PVD and finally retinal detachment and macular hole.
References
1. Miller BK, Goldstein MH, et al. Ocular manifestations of electrical injury. CLAO J 2002;28(4):224-7.
2. Grover S, Goodwin J. Lightning and electrical injuries: neuro-ophthalmologic aspects. Semin Neurol 1995;15(4):335-41.
3. Rajagopal J, Shetty SB, Kamath AG, Kamath GG et al. Macular hole following electrical shock injury. Can J Ophthalmol 2010;45(2):187-8.
4. Sharma A, Reddy YCVG, Shetty AP, Kader SMA. Electric shock induced Purtscher-like retinopathy. Indian J Ophthalmol 2019;67(9):1497-500.
5. Koytak A, Aras C, Kurtulmuslar B. Rhegmatogenous retinal detachment following electrical shock injury. Int J Ophthalmol 2013;6(3):409-10.
Declaration of competing interests: None declared.
COMMENTS ARE WELCOME

