Search
Contact
Advertise
Contribute
Login
Contact
Advertise
Contribute
Search
Subspecialities
Cataract
Cornea
Glaucoma
Imaging
Neuro-ophthalmology
Oculoplastic
Oncology
Orbit
Paediatrics
Pathology
Refractive
Strabismus
Vitreo-Retinal
News
Events
Education Nav
Research Nav
Professional
Product Guide
The Magazine
Login
Search
Varij Mathur
Test RTE for PersonPage items.
Varij Mathur
Consultant
Broomfield Hospital-Mid and South Essex NHS Trust, Chelmsford, UK.
Latest Contributions
Nancy Khairat
,
Varij Mathur
,
V Kesharaju
·
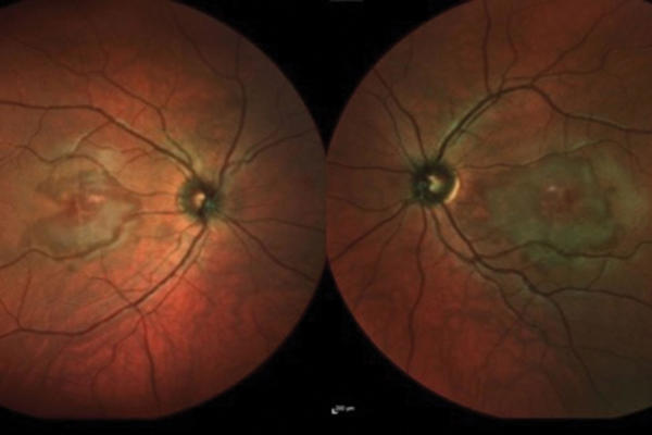
5th April 2022
Possible COVID-19 related maculopathy
Nancy Khairat
,
Varij Mathur
,
V Kesharaju
,
Fawzi Mahmoud
·
5th June 2023
Education
Case Reports
Retinal sequelae of high voltage electric current injury