Search
Contact
Advertise
Contribute
Login
Contact
Advertise
Contribute
Search
Subspecialities
Cataract
Cornea
Glaucoma
Imaging
Neuro-ophthalmology
Oculoplastic
Oncology
Orbit
Paediatrics
Pathology
Refractive
Strabismus
Vitreo-Retinal
News
Events
Education Nav
Research Nav
Professional
Product Guide
The Magazine
Login
Search
Henry Z Lin
Test RTE for PersonPage items.
Henry Z Lin
Consultant Ophthalmologist
FRCOphth FICO FEBO PgCert (Cantab), Colchester Hospital, UK.
Latest Contributions
Kathryn O’Brien
,
Henry Z Lin
,
Anthony Vivian
ยท
2nd February 2024
Education
Case Reports
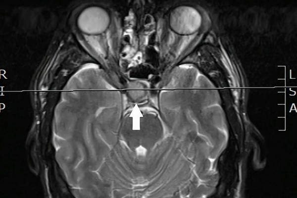
Photophobia: an unusual symptom of a pituitary macroadenoma