Search
Contact
Advertise
Contribute
Login
Contact
Advertise
Contribute
Search
Subspecialities
Cataract
Cornea
Glaucoma
Imaging
Neuro-ophthalmology
Oculoplastic
Oncology
Orbit
Paediatrics
Pathology
Refractive
Strabismus
Vitreo-Retinal
News
Events
Education Nav
Research Nav
Professional
Product Guide
The Magazine
Login
Search
Ranad Maswadi
Test RTE for PersonPage items.
Ranad Maswadi
Medical Retina Fellow
Norfolk and Norwich University Hospitals NHS Foundation Trust, Norwich, UK.
Latest Contributions
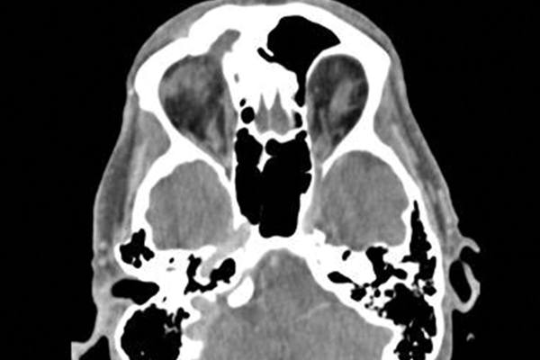
Mustafa Al-Hashimi
,
Ranad Maswadi
,
Bijan Beigi
ยท
3rd October 2022
Education
Case Reports
Upper eyelid ulceration as a presenting sign of frontal sinus mucocele