Search
Contact
Advertise
Contribute
Login
Contact
Advertise
Contribute
Search
Subspecialities
Cataract
Cornea
Glaucoma
Imaging
Neuro-ophthalmology
Oculoplastic
Oncology
Orbit
Paediatrics
Pathology
Refractive
Strabismus
Vitreo-Retinal
News
Events
Education Nav
Research Nav
Professional
Product Guide
The Magazine
Login
Search
Articles
Category
Cataract
Cornea
General
Glaucoma
Imaging
Neuro-ophthalmology
Oculoplastic
Oncology
Orbit
Paediatrics
Pathology
Refractive
Strabismus
Vitreo-Retinal
Tag
Allied Professions
Book Reviews
Case Reports
Charity
Covid-19
Culture Section
Education
International
Journal Reviews
Medico-legal
My Top Five
Optometry
Public health
Recruitment
Research
Surgery
Survey
Top Tips
Year
2025
2024
2023
2022
2021
2020
2019
2018
2017
2016
2015
2014
2013
Sort
Newest First
Oldest First
Title: A to Z
Title: Z to A
Submit
You are currently filtering for:
Tag:
Case Reports
Clear filters
Lessons from an unusual case of syphilis
Ryian Mohamed
,
Shaman Dolly
,
Jonathan Than
,
Shweta Anand
·
3rd August 2023
Education
Case Reports
Traumatic injuries from foam Nerf bullets
Bhagashree Joshi
,
Marika Troiani
,
Manoj Kulshrestha
·
5th June 2023
Education
Case Reports
Retinal sequelae of high voltage electric current injury
Nancy Khairat
,
Varij Mathur
,
V Kesharaju
,
Fawzi Mahmoud
·
5th June 2023
Education
Case Reports
A case of ‘60-day glaucoma’
Jagruti Godhaniya
,
Rajan Paul
·
3rd April 2023
Education
Case Reports
Recurrent unilateral preseptal cellulitis secondary to herpes simplex virus infection
Shaheryar Ahmed Khan
,
Bridget Hemmant
,
Radomir Babovic
,
Yomi Imasogie
·
3rd April 2023
Education
Case Reports
Periorbital and subconjunctival emphysema - a sign of orbital rim fracture
Ernest Lim
,
Christopher Leak
·
3rd February 2023
Education
Case Reports
Ciliary body granuloma masquerading as a melanoma
Boon Lin Teh
,
Paul Cauchi
,
Lucia Kuffová
·
3rd February 2023
Education
Case Reports
Bilateral eye pain after contact lens wear: an inadvertent case of chemical eye injury
Derek K-H Ho
,
Vinod Kumar
·
1st December 2022
Education
Case Reports
Avoiding investigations through history taking and examinations to differentiate serious from comparably benign aetiology
Nameer K Rahman
,
Ishrat Rukhsana Bashir
,
Hiten G Sheth
·
1st December 2022
Education
Case Reports
A paediatric case of central retinal artery occlusion following antibiotics and decompression surgery for orbital cellulitis
Saad Mahmud Khan
,
Nadia Azad
·
3rd October 2022
Education
Case Reports
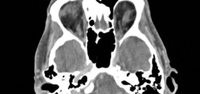
Upper eyelid ulceration as a presenting sign of frontal sinus mucocele
Mustafa Al-Hashimi
,
Ranad Maswadi
,
Bijan Beigi
·
3rd October 2022
Education
Case Reports
Trans-sinus endoscopic removal of retrobulbar air gun pellet within the orbital apex
Muzammil A Nahaboo Solim
,
Mike McKenna
,
Gar-Yun Wong
,
Sreekumari Pushpoth
,
David EJ Whitehead
·
2nd August 2022
Education
Case Reports
Prev
1
2
3
4
5
6
Next