Search
Contact
Advertise
Contribute
Login
Contact
Advertise
Contribute
Search
Subspecialities
Cataract
Cornea
Glaucoma
Imaging
Neuro-ophthalmology
Oculoplastic
Oncology
Orbit
Paediatrics
Pathology
Refractive
Strabismus
Vitreo-Retinal
News
Events
Education Nav
Research Nav
Professional
Product Guide
The Magazine
Login
Search
Articles
Category
Cataract
Cornea
General
Glaucoma
Imaging
Neuro-ophthalmology
Oculoplastic
Oncology
Orbit
Paediatrics
Pathology
Refractive
Strabismus
Vitreo-Retinal
Tag
Allied Professions
Book Reviews
Case Reports
Charity
Covid-19
Culture Section
Education
International
Journal Reviews
Medico-legal
My Top Five
Optometry
Public health
Recruitment
Research
Surgery
Survey
Top Tips
Year
2025
2024
2023
2022
2021
2020
2019
2018
2017
2016
2015
2014
2013
Sort
Newest First
Oldest First
Title: A to Z
Title: Z to A
Submit
You are currently filtering for:
Tag:
Case Reports
Clear filters
Aqueous misdirection: a case series of unexpected surgical complications
Annes Ahmeidat
,
Caroline Cobb
·
3rd June 2024
Education
Case Reports
The challenge of chorioretinal folds in virtual eye clinics
Noorulain Khalid
,
Faizan Hashmi
,
Adam Riaz
,
Hadi Ziaei
,
Abha Gupta
·
3rd June 2024
Education
Case Reports
Acute macular neuroretinopathy
Sagar Jobanputra
,
Marcela Bohn
·
3rd April 2024
Education
Case Reports
Hidden eyelid laceration following blunt trauma
Sarah E O’Beirne
,
Jennifer HY Tan
·
3rd April 2024
Education
Case Reports
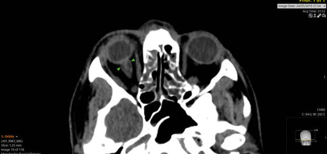
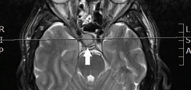
Photophobia: an unusual symptom of a pituitary macroadenoma
Kathryn O’Brien
,
Henry Z Lin
,
Anthony Vivian
·
2nd February 2024
Education
Case Reports
A unique case of macular burn from ‘toy’ laser
Paras Agarwal
,
Manoj Kulshrestha
·
2nd February 2024
Education
Case Reports
Bosch-Boonstro-Schaaff optic atrophy syndrome (BBSOAS) NR2F1 mutation
Soman Raman
,
Neda Qurashi
,
Qasim Mansoor
·
4th December 2023
Education
Case Reports
Vitreous loss fire drills – ophthalmic simulation improves trainee surgical competence and confidence with posterior capsule rupture scenarios
Mostafa Khalil
,
Chloe Shipton
,
Artemis Trochanis
,
Alan Rotchford
,
David Lockington
·
4th December 2023
Education
Case Reports
A case of retinal cavernous haemangioma – don’t let it slip through the grapevine
Mary Henry
,
Jerald William
·
4th December 2023
Education
Case Reports
Unilateral central scotoma following dengue fever
Prabakaran Selvaraj
,
Shery Thomas
,
Isabel Ash
,
Arun Lakshmanan
·
12th October 2023
Education
Case Reports
The madarosis mystery: unravelling the clues to a host of health issues
Kate Reed
,
Anna Gkountelia
·
4th October 2023
Education
Case Reports
Acute dacryoadenitis secondary to COVID-19
Kareem Waleed Alsaffarini
,
Han Xern Khoo
,
Colin Vize
·
4th October 2023
Education
Case Reports
Prev
1
2
3
4
5
6
Next